Valplast

See Flexible Dentures

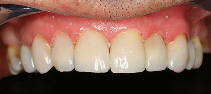
Veneers

Veneers can be used to correct discoloured (or stained) teeth, mal-positioned or rotated teeth (see orthodontics), gaps, large fractures, worn or short teeth. They can also be used to "broaden" the look of your entire arch of teeth or make your smile look bigger.

  • Dental Veneers are thin shells of very Aesthetic tooth coloured Porcelain (see also Porcelain Veneers) or Composite (see Composite Veneers) that fit over teeth and improve their Colour, shape and overall appearance
  • The placement of Veneers can dramatically improve a smile and have sometimes been called "instant orthodontics"as they can be used to restore:
    • Spacing between teeth
    • Crowding of teeth

    Veneers can also be used to correct:

    • Heavily Stained teeth
    • Fractured, chipped or worn teeth and
    • Poorly shaped or crooked teeth
  • With improvements in materials and Bonding agents Veneers typically last 10-30 years but may have to be replaced or repaired (repair only possible with Composite veneers) due to:
    • Cracking or chipping
    • Decay
    • Shrinkage of the gum line (see Gum Recession)
    • Damage from Trauma or Grinding (see Bruxism)
  • The cost of veneers can vary greatly with Direct Composite Veneers ranging from $250 to $750 (avg. $450) and Porcelain Veneers ranging from $1000 to $2500 (ave. $1200). At SAS Dental we use the very best materials available. It is up to each dentist to justify their fees
  • Good Oral Hygiene is always recommended with or without Veneers
  • Common sense applies with regard to Function and Parafunction and hard objects and foods such as finger nails and bones should be avoided
  • Vertical Dimension

    Vertical dimension in dentistry refers to the vertical height of the lower face and is an important factor to consider in achieving pleasing facial proportions and smiles.

    Loss of vertical dimension of occlusion or “bite collapse” can be the result of:

    • Loss of teeth from severe decay or periodontal disease
    • Excessive wear of teeth from bruxism
    • Severe attrition or wear can be a serious problem. It can result in damage to the jaw joints; severe pain or dysfunction in the jaw joints (temporomandibular dysfunction, or TMD); frequent muscle tension headaches; excessive muscle contraction forces as the closing muscles of the jaw shorten (which can accelerate the destruction); tooth fractures and tooth loss; aggravation of periodontal disease if present ("secondary occlusal trauma"); shortening of the lower face height (which can change one's appearance, although it may not be obvious to a casual observer); an inverted smile (corners of the mouth sag); a "toothless" smile; frequent cracking or chapping at the corners of the mouth ("angular cheilitis"); and problems chewing.

    Figure 1: Loss of the molars and second bicuspids, followed by tipping of the remaining teeth, produced a collapsed bite in the patient illustrated here. The arrows demonstrate the loss of interocclusal space which would be required to fit properly sized upper and lower teeth. Such patients can present significant complexities for restoring their dentitions, facial proportions, and temporomandibular joint function; and doing so may require the involvement of surgical, restorative and orthodontic procedures.

    Figure 2: Severe attrition of this habitual bruxer has led to loss of the patient's, vertical dimension of occlusion (bite collapse).

Connect With Us