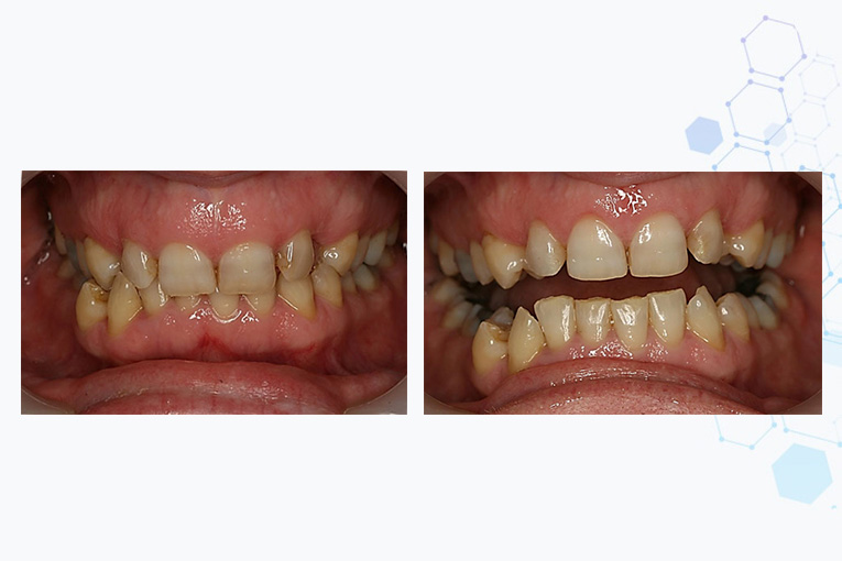
Patient 1 (MO 1) is a busy surgeon with a hectic lifestyle but decided it was time to:

  • Protect his teeth from the damage done by grinding (Bruxism) and pathology.
  • Regain function and improve aesthetics

This patient exhibited (see fig. 1):

  1. Excessive tooth wear
  2. Yellow discolouration and
  3. Missing teeth

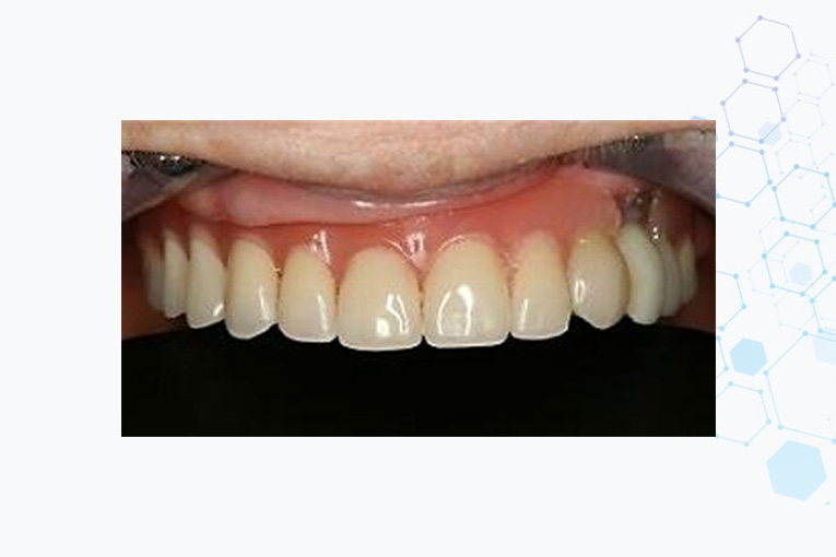
His whole mouth was reconstructed (see fig. 2) with:

  1. Composite Crowns
  2. Composite Bridges and
  3. aValplast flexible denture

This resulted in:

  • Improved smile, profile and function (see figs. 3,4,5& 6)
  • Figures 1 & 2 show implant with fibre/composite bridge and placement of lower fibre reinforced composite bridge.
  • Figures 3 & 4 show improvement in lip support.
  • Figures 5 & 6 show before and after treatment.


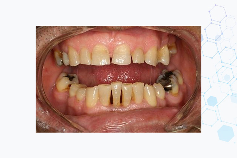
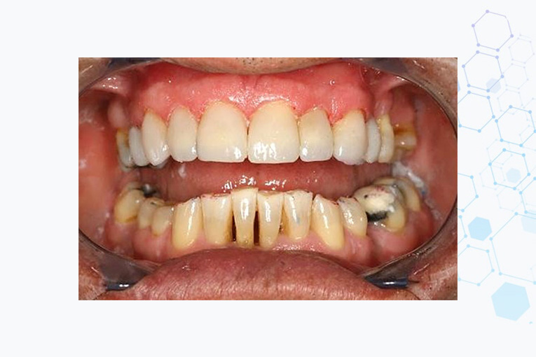
Patient 2 (MO 2) had one Implant placed 15 years ago at our practice, moved interstate and lost many teeth due to gum disease(fig. 5). The stresses of being a family solicitor may have contributed to her oral pathology.

On her return it was decided to retain her remaining teeth and reconstruct the lower teeth with fibre reinforced composite bridgework (fig. 4) and the upper teeth with a double cantilever fibre reinforced composite bridge on the implant(fig. 2) and a flexible Valplast denture (figs. 6 & 11).

Figures 9 & 10 show the importance of teeth to appearance and confidence.

Figure 11 show functional and aesthetic restoration of maxilla with retention on one implant.

This patient exhibited the signs of severe grinding (Bruxism) namely lost vertical dimension and loss of all the enamel on chewing surfaces (figs. 1,2,5& 7). Because tooth wear happens gradually, it may not be noticed until very late.

  1. Gold pins
  2. Glass ionomer bases and
  3. Composite Crowns were used in this reconstruction

In such situations it is imperative that protective night-time Splints be worn to prevent a re-occurence of the damage.

Figures 1 & 2 show amount of wear from parafunctional day and night clenching and grinding. Note the loss of enamel from the biting surfaces and the widening of the teeth as they get closer to the gum. Also, note the reparative dentin on all teeth and the exposed nerve (arrow) where the speed of tooth wear was greater than the of nerve repair.

Figures 3 & 4 after restoration with composite crowns.

Figures 5 & 6 show restoration of the original tooth length.

Figures 7 & 8 show importance of teeth.

This patient is an actor and was not happy with:

  1. The appearance of his teeth and having to wear partial dentures.

A solution was found with:

  1. Composite crowns and composite bridges.

Figures 1 & 2 before and after.

Figures 3 & 4 show replacement of amalgams and tooth build ups in composite. Also see cantilever composite bridge at top right.

Figures 5 & 6 before and after.

Misshapen, missing and worn teeth were reconstructed with composite crowns and bridges. Vertical height was also increased slightly to improve the lower facial height and facial profile.

Figure 1 shows excessive wear from grinding.

Although this patient is young, his strong night time grinding (Bruxism) has resulted in:

  1. Severely worn front teeth and loss of vertical dimension

The lower facial height and the teeth were restored by building up the teeth with composite crowns.

Dentists will usually recommend the wearing of night splints to prevent such wear.

Figure 2 shows improvement in appearance after restoration of teeth with composite crowns.

Figures 1 & 2 show before and after treatment.

Grinding over the years resulted in:

  1. A negative or reverse smile and loss of lower facial height which was restored with composite crowns

Figure 1 initial presentation.

This patient enquired if anything can be done about (fig. 1 & 2):

  1. Unevenly worn teeth (pathology)
  2. Missing teeth (function)
  3. Discolouration (aesthetic)

With co-planning, this patient’s main problems were identified and discussed.

Treatment options were presented and it was decided to attend to all three issues by placing composite crowns on many teeth.

Figure 3 shows composite crowns.

The bite had collapsed due to:

  1. The removal of ten teeth (upper right 8,7,5; upper left 7,6,4; lower left 8,6 and lower right 8&5) with subsequent tilting.
  2. Uneven grinding (Bruxism)

The bite was opened at the first appointment with glass ionomer while the upper front teeth were restored with composite crowns and a cantilever composite bridge was placed at the upper left 4 site.

Figures 5 & 7 show noticeable improvement in lip support after treatment (right).

Note the improvement to the lips with the increased support provided by the crowns and the increased vertical dimension. Also note the improvement in smile from a “reverse” curve on the left to a more “positive” curve that tends to reflect the curve of the lower lip.

As with all cases of parafunctional grinding, a night splint was recommended.

This patient had many dental issues:

  1. Extremely deep bite (fig.1) with resulting:
    • Damage to the tissues of the palate
    • Wear of the lower front teeth (fig. 2) and
    • Gum stripping (figs. 1 & 2)
  2. Moderate to severe Overcrowding
  3. Gingivitis
  4. Decay under some old amalgam fillings
  5. Abscess under upper right 5 tooth
  6. Cracks in dentine under amalgam fillings
  7. Missing lower right molar
  8. Discolouration
  9. Difficulty Smiling comfortably for many years

Figures 1 & 2 show crowding, extremely deep bite and tooth damage.

Option 1. Involved opening the bite and improving the appearance with laser crown lengthening and composite crowns with/without an implant (lower molar).

Option 2. Required orthodontic banding for over two years followed by bleaching and re assessment as to whether gum surgery and veneers would be required.

The patient chose option 1.

Laser crown lengthening was performed on some teeth followed by the removal of all old fillings and replacement with composite crowns at a new vertical height. Root canal therapy was performed on UR5 tooth and a cantilever (composite fibre)reinforced bridge replaced the missing molar.

This attended to pathology, restored function and improved aesthetics — both the smile and the profile.

Figures 3 & 4 show pre-treatment upper (left) and lower (right) teeth.

Figures 5 & 6 show post treatment upper (left) and lower (right) teeth.

Figures 7 & 8 show improvement in smile.

Figure 9 shows a much more relaxed smile.

This patient owns and runs a beauty and health spa in Canberra and was keen to improve her gum and dentition.

The issues identified at appointment one were:

  1. Parafunctional grinding (Bruxism) resulting in enamel loss and uneven wear of teeth (fig. 1 & 2)
  2. Cross bite of lower right teeth (figs. 1 & 7)
  3. Crowding of lower teeth (figs. 4 & 7)
  4. Missing both upper canines (figs. 1,2,3,7 & 8)
  5. Midline shift to left (fig. 2)
  6. Heavily restored lower molar teeth (fig. 4)
  7. Discolouration

Figure 1 Pre-treatment: Note amongst other issues, the crossbite of canine and premolar at left.

Figure 2 After laser crown lengthening.

Figures 3,4,5& 6 before and after. Upper teeth left and lower teeth right.

After co-planning where the patient’s dental issues were fully discussed and options given, the patient opted for a full mouth composite reconstruction.

At appointment two, all restorations present were removed and replaced, some with composite fillings and others with composite crowns (figs. 5,6,8& 10)in order to open the bite. A fibre reinforced composite bridge (figs. 5 & 8)replaced the left missing canine.

Figures 8 & 10 post treatment.

The patient was very happy to get all the work done in one visit and drove back to Canberra after her appointment.

Connect With Us