Medication induced decay and tooth loss restored with composite crowns and metal substructure dentures.
Strict oral hygiene measures were put in place before reconstruction proceeded.
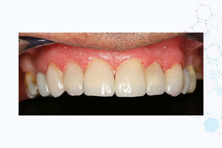
This patient had put up with porcelain crowns that were far from ideal, especially around the gum line.
Composite crowns were used to replace the porcelain crowns at less than one third the cost.
A composite crown is used to restore a heavily filled and broken-down molar.
A missing tooth was replaced using a mini implant and a composite crown in one visit.
A broken-down premolar (which had previously had root canal therapy) was restored with a post and composite crown.
This patient had worn and discoloured teeth that were restored with composite crowns without bleaching.

