A missing canine is replaced by a fibre reinforced bonded composite bridge.

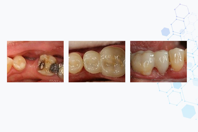
Here, a molar tooth is used to support a fibre reinforced composite cantilever bridge. As the molar was already heavily filled with a silver amalgam, there was minimal tooth reduction before bonding the new tooth.

Connect With Us