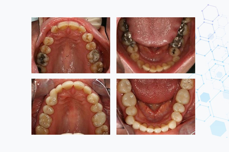
Replacement of all old amalgam fillings with composite as part of full mouth reconstruction.
Large carious lesions restored with composite.
Amalgam fillings are removed here and replaced with composite.
This patient was experiencing sharp instantaneous pain on biting on the molar tooth in the middle of the picture.
Removal of these amalgam fillings revealed stained dentine and vertical fractures across the teeth.
The teeth were restored with a glass ionomer base and composite resin material.
This patient was experiencing sharp pain on biting onto the middle tooth. It was decided to replace all three amalgams. Note the return to natural tooth colour.

