Caffeine

  • Caffeine is found in coffee, tea, colas chocolate, energy drinks and pain relievers
  • Caffeine acts as a stimulant that offers a physical or mental energy boost
  • Australians consume more than 55,000 tonnes of coffee each year
  • Too much can:
    • make you jittery
    • raise your heart rate
    • make your heart beat irregularly
    • make it hard to fall asleep at night
    • The drinks in which it comes also can:
    • affect teeth and
    • cause bone loss
  • The effects on teeth include:
    • Staining from the liquid
    • Phosphoric acid erosion of enamel from colas and energy drinks
    • High sugar content also grows bacteria and produces acid
    • Caffeine reduces saliva flow which can lead to decay
  • The stimulant effect of caffeine can contribute to grinding (bruxism)
  • Many of these effects can be reduced by drinking water along with the beverage
  • http://www.ehow.com/about_5367857_effect-caffeine-human-teeth.html#ixzz18YJAO7WU

    Calculus

Heavy staining and calculus deposits on the inside of the lower front teeth

  • Calculus is simply oral plaque that has been hardened by salivary calcium
  • This is the same process as seen with atherosclerosis in cardio vascular disease where blood calcium attaches and hardens cholesterol found in the blood vessels
  • In both cases prevention focuses on the removal of the soft precursors - plaque and cholesterol respectively as these act as a matrix or “blueprint” for the free floating calcium to attach to (see Oral Hygiene)
  • Calculus can range in colour from off white to black depending on how old it is and diet
  • Regular plaque can be easily removed with a soft brush and water but once calculus is formed it is too hard and too firmly attached to be removed by any Toothpaste or any toothbrush. Note that it is never advisable to use a hard brush as these damage teeth and gums and do not remove plaque between teeth and around the gums where it really counts
  • The rough surface of calculus provides an ideal medium for further plaque formation continuing any gum disease process
  • Any plaque that remains on teeth can become transformed into calculus but the most common sites occur adjacent to salivary gland openings into the mouth namely:
  • On the inside surfaces of the lower front teeth and
  • Outside surfaces of the top back molars (particularly 2nd molars)
  • Calculus can form:
  • above the gumline - supragingival or
  • below the gumline - subgingival
  • Calculus formation can result in:
  • bad breath(halitosis)
  • receding gums and
  • chronic gingivitis
  • Prevention is acvhieved by:
  • correct toothbrushing
  • flossing and
  • regular cleaning visits (ranging from 3 months to 24 months)
  • Calculus accumulates more easily in some individuals, requiring more frequent brushing, flossing and dental visits. Parathyroid hormone levels should be checked in individuals with excessive unexplained calculus build up
  • Some external factors that facilitate the accumulation include smoking and diabetes
  • Some toothpastes marketed as anti-tartar have an additive ingredient of zinc citrate and have been shown to produce a statistically significant reduction in calculus accumulation, but to such a small degree that its clinical importance is questionable http://www.ncbi.nlm.nih.gov/pubmed/7007451
  • Cancer

    The major risk major risk factor in western countries being tobacco smoking. Cancers of the lower lip occur more commonly in people who have a high exposure to UV sunlight, such as outdoor workers. By not smoking and always using sun protection on exposed skin and lips, patients can decrease their risk of developing these cancers. It is important to examine and assess any non-healing ulcers or change in the appearance or texture of the skin. In most cases, the earlier the treatment, the better the outcome. Cancer of the mouth is both a preventable and potentially curable disease if it is detected early enough

    Check UPS

  • A dental check up is an ideal time to detect any oral pathologies – the big three being
  • Gum disease
  • Decay
  • Bruxism
  • In order to minimize damage, simplify treatment and reduce cost these and other oral diseases and best treated early
  • Some systemic diseases have oral signs and symptoms and a check up is an opportune time to assess overall health
  • Dental check-ups also allow you to understand your own particular mouth better. Everyone is different and it is very important that you know what conditions you have, what conditions you don’t and where to focus attention.
  • Check ups serve to monitor and improve oral hygiene methods and monitor response to treatment.
  • Check ups usually involve scaling and polishing of teeth and may also include fluoride application
  • The average check ups is done every twelve months but they range from three months to two years
  • X rays are taken every few years (depending on the extent of oral disease) to help detect disease particularly decay between teeth and gum pockets
  • Children

  • Dentists and staff around the world have heard and continue to hear childhood horror stories at the dentist
  • At Sydney Aesthetic Smiles we recognise this and feel that a gentle and fun approach is very important

    Here are some of the animals children may meet at the clinic:

  • Bringing your child with you on your appointment will introduce your child to “the dentist”
  • A good age to sit your child in the dental chair is around three or four even if they don’t open their mouth. Alternatively your child can sit on your lap as the chair is raised and lowered

    Detection and prevention of minor problems will prevent them from becoming major ones

  • Decay:
    • Once your toddler has started on solids aim to introduce feeding cups rather than bottles. It is best not to let your child go to bed at night with bottles or to breast feed through the night.Both breast milk and formula contains lactose and this can cause what is called “nursing caries” or “bottle caries”which occur mainly on the top front teeth

    If you choose to allow milk or juice through the night please make sure your childs teeth are cleaned thoroughly before bed

    • Otherwise by far the most common decay in children occurs on their back teeth, specifically between the baby first molar and baby second molar (teeth numbers four and five from the midline). Because baby teeth are so white and are relatively short decay is quite easy to detect hear and parents are encouraged to examine their childrens teeth for obvious holes, discolourations and trapped food. In fact, pain from tooth decay in children is usually due to food impaction and simply removing the trapped food most often gives instant relief
    • Decay is multifactorial which means it can be prevented in more than one way;
      • Removal of the cause ie Acid
      • Physical removal of Bacteria – BRUSHING
      • Reduction of Bacteria’s food - SUGAR
      • II. Increasing the tooth’s resistance to acid – FLUORIDE
      • Brushing
      • It is best to start tooth brushing once your children start to have teeth (usually six months) At this age toothpaste is not necessary

        Once your child can rinse use small amounts (the size of their pinkie nail) of children’s toothpaste

        It is important for your child to develop their manual dexterity in order to have optimal oral hygiene. We have found that children who play instruments often have better dexterity and less plaque

        We recommend encouraging your child to “practice” brushing their teeth while reading, doing their home work or watching t.v., on the computer or even in the backyard etc and not only when they are rushed before school or tired and sleepy before bed. They can brush with or without toothpaste so long as they practise small circles that reach the gums

        Generally speaking we do not recommend electric brushes until children can master the manual brush

        One way of encouraging your child to brush is promising them a “cocktail” of VERY small amounts of non fluoride or childrens toothpaste to brush their teeth with if they are good. This positive reinforcement works well with my children and is a win-win method

        Another method of motivating your child to brush is to remind them that the “jimmy germs” that live on their teeth grow very quickly and need to be removed before they do their “wee wee” which makes “smelly air” and yellow teeth

        Correct brushing is a skill. Try brushing with your non dominant hand ie left if you are right handed

        Remember that it is the first three years after a tooth erupts into the mouth (see Tooth Eruption Times) that is by far the most important time in a tooth’s life. If it can survive the acidic attack without damage then it should be ok for life

        The same technique is recommended ie circular brushing of teeth and gums. Where small circles are difficult such as biting surfaces and the insides of teeth then very small agitation is sufficient

        Remember the purpose of tooth brushing is to physically remove plaque and not to “polish teeth” so soft bristles focused into areas where bacteria hide is the aim

      • Sugar:
        • Reduce snacking. It is better to ingest sugar at meal times
        • Soft drinks are very bad as they also contain many acids. These are best avoided by children. A straw helps to keep away from teeth. Never brush straight after ingesting soft drinks
        • Dilute fruit juices down about 50%
        • Chewing gum after sugar may be beneficial if done in moderation

        Sugar is converted by Bacteria into energy for bacterial growth and acids, which are the waste products

        This acid is the Bacteria’s urine and starts to dissolve the tooths calcium

        It is virtually impossible for children to totally avoid sugar but education and some rules surrounding when sugary foods are ok can go a long way:

      • Fluoride
      • Fluoride occurs naturally in foods and water and is also added to town water and toothpastes. It is the single best way to increase the tooth’s resistance to acid attack

        The ideal amount in water is very low one part per million. Excess fluoride such as from the swallowing of toothpaste can result insightful staining of teeth called Fluorosis

        Only allow your child to use childrens toothpaste and only if they have learnt to rinse and spit out. Only use a small amount such as the size of their pinky finger nail

        There are non fluoride toothpastes available from health food stores. One such company Weleda produce a very pleasant tasting orange flavoured paste

      • Dummies (Pacifier)
      • The use of a dummy is common with babies and toddlers. It can be their security blanket

        Some studies shows dummies may help prevent cot death.

        Other studies show increased incidence of ear infections http://www.medicalnewstoday.com/articles/112364.php

        It is very important NOT to dip the dummy in any sweet foods such as honey, jam, Nutella or anything else that is sugar based as this can cause rampant decay

Use of a pacifier should be discouraged to avoid the movement of teeth but permanent

Damage may be avoided if it is stopped by the time they are ready to start school (around five).Be patient as it may take a few weeks. Remember the pacifier’s role in security. Substitutes such as a dolly or a strip of lined velvet in their favourite colour may help. If they are a little older it may help to challenge your growing Einstein. Either way prepare for a possible not so happy toddler and a few sleepless nights

  • Eruption Times (Baby/Milk/Deciduous and Adult/Permanent Teeth):
    • Generally girls get their teeth 6 months earlier than boys
    • Within each gender late or early eruptions are all normal so don’t panic if your child is the last in the class to get their front teeth
    • There is a correlation with hormonal changes, tooth eruption and overall growth spurts as the body knows when it is time to get more teeth for extra function and nutrients
    • The two busy times are around 7 and 11
    • The new adult teeth will appear darker than baby teeth as the enamel crystals are arranged differently. See your dentist if they are very different or have obvious irregularities
    • Sometimes a very late change indicates a missing adult tooth. This is an occasional occurrence with the most commonly missing teeth being:
      • the lateral incisors
      • the wisdom teeth
      • the lower second premolars
    • During eruption time the new teeth and the adjacent teeth may appear or become crooked. This is normal. As the jaw bone expands there will be more room for the teeth to straighten together with the guiding influence of the lips and tongue. It may be wise to arrange for a quick visit to the dentist if you are concerned
    • If crowding does not resolve and orthodontics is needed this will not usually start until all the baby teeth are lost at around 13 years. Note for certain conditions plates need to be used before this age
      • The Egg
        • Drying of the mouth with increased incidence of decay and
        • Pointed front teeth due to night time tongue thrusting as the tongue tries to get out of the way.
        • Dust mite protectors for pillows and mattresses
        • Air purifiers in bedrooms
        • Removal of carpets in bedrooms

      Children often get colds and sometimes get tonsillitis. Tonsils are filters of germs positioned at the back of the throat. Similar glands at the back of the nose are the Adenoids. If these become chronically inflamed and enlarged nasal breathing becomes difficult. The typical culprit is the dust mite, in particular dust mite faeces. The resultant mouth breathing causes:

      Thus the jaw adopts the shape of the tongue a pointed Gothic Arch as opposed to the more rounded and broader Roman Arch (see figure below)

The Egg shows both the Gothic shape (top) and Roman shape (bottom)

It is important to have this condition diagnosed so as to attend to this condition early.

Preventative measures include:

There are functional appliances that can be worn to reverse the shape of the jaw

Teach good habits early, as good habits start young for a lifetime of healthy teeth and gums

Co-Planning

At Sydney Aesthetic Smiles what we call Co-Planning involves:

  • Comprehensive Systemized Examination
  • Full Diagnosis
  • Complete Education of any Conditions Present
  • Discussion of Options

Complex Reconstructions

See Make Overs

Complex reconstructions refers to the restoration of the mouth as a whole involving many teeth and usually attends to Function and/or Aesthetics

This is especially the case where there has been a large amount of tooth material loss:

  • Missing teeth from extractions
  • Excessive wear of teeth from grinding see Bruxism and Vertical Dimension

but could also be where teeth have erupted into a less than favourable position

COMPOSITE CROWNS

Composite crowns used to restore a smile and protect the teeth.

At Sydney Aesthetic Smiles we are big fans of Minimal Intervention Dentistry (MID) and prefer to use Composites to mould and bond onto teeth rather than traditional drilling and cementing of Porcelain Crowns

When placed by skilled dentists composites are extremely Aesthetic and totally undetectable

But how Strong are Composites?

University research and over twenty years experience placing both composite and porcelain has shown that composite fillings and crowns can last just as long if not longer than porcelain depending on the experience of the clinician and the material used

Also, composites are extremely Versatile and are able to be altered in shape, size and colour plus they are much Gentler on the opposite teeth whereas porcelain is known to wear away enamel and dentine

Figure 1 when composite is placed by skilled dentists it is an ideal restoration

Figures 2, 3 & 4.Removal of amalgams show vertical cracks in a very weak molar tooth. Rather than drilling yet more of the tooth away for an expensive porcelain crown (requiring further visits and possible Root Canal Treatment), the placement of bonded composite means that the patient benefits from MID in one visit

In general, the huge advantages of composite crowns are:

  • Their conservative nature. Use of tough and wear resistant nano composites means less drilling and more retention of tooth structure which means a stronger final tooth

The side walls of a tooth which are normally drilled back in the traditional crown are generally left far more intact with the resin composite crown. The use of a fully bonded material in restoring the heavily broken down tooth can also mean less of a need for Root Canal Therapy saving on financial and biological cost as drilling into the deadened root system to place posts is avoided

  • The financial saving as Porcelain crowns cost 3 to 5 times as much as composite crowns.

Note that material science research shows that porcelain is quite a delicate material see Porcelain Fractures and Toughness that the recently introduced nano hybrid composites exhibit many superior physical properties.

COMPOSITE RESIN

(Correct terminology is Resin Composite)

Composite Resin is the most popular white filling material used in dentistry

It is composed of a mixture of glass particles embedded in a resin matrix

The newest composites use extremely small silica nano particles which make these composites extra tough, hard wearing and Aesthetic see Toughness

Composites are more difficult to place than Amalgams, requiring greater attention to detail

How strong is composite?

University research and experience has shown that Composite Fillings and Composite Crowns can last just as long if not longer than Porcelain depending on the material and technique used. See images of Porcelain Fractures.

In addition to this, there are other advantages to using composite over porcelain namely:

  • The ability to easily repair fillings, veneers and crowns
  • The ability to alter shape, size and colour without complete replacement
  • Less or no drilling of tooth substance
  • One visit not two
  • Bonding not cementing to tooth
  • Less chance of restoration not fitting
  • Less chance of colour mismatch
  • Much easier to get the bite right
  • Composite does not wear away and damage opposing teeth
  • Greatly reduced cost

This diagram shows that while ceramics and porcelains are strong they are very brittle. Resin composites are able to absorb the stresses on them better and are tougher materials

COMPOSITE VENEERS

  • Composite Veneers are similar to Porcelain Veneers in that they are placed over the surface of teeth to alter a tooths appearance but are also very different
  • They are made of Resin Composite though and are bonded Directly onto the tooth surface which usually means less drilling than Porcelain Veneers see Minimal Intervention Dentistry
  • Because of this they can be placed in one visit
  • Also because of this they are much more difficult to perfect and require very experienced and well trained dentists. Porcelain Veneers are made in a Lab at a distant site by a technician who is given models and instructions by the dentist. This is in our opinion the main limiting factor
  • With regards to Strength, Porcelain is generally regarded a stronger but much more Brittle material with Composite being able to elastically absorb forces much better see Toughness
  • Because the Composite material is chosen at the same time as placement of the veneer any refining of colour or translucency or shape can be done on the spot whereas Porcelain may need to be returned to the laboratory for reshaping and reglazing or redoing alltogether
  • Because there is no lab fee they are much less expensive ranging from $250 to $750 compared to Porcelain $1000 to $2500
  • Composite veneers are much more versatile. Veneers do not change colour but if the surrounding teeth do then Composite veneers can be resurfaced or reshaped whereas Porcelain veneers need to be replaced or the other teeth Whitened
  • Also, Veneers rarely fail but if they chip Composite Veneers can be repaired whereas Porcelain Veneers must be replaced
  • Good Oral Hygiene is always recommended with or without Veneers
  • Common sense applies with regard to Function and Parafunction and hard objects and food such as finger nails and bones should be avoided

Cosmetic Dentistry

Dentists who primarily focuses on creating beautiful smiles are

regarded by the public as Cosmetic Dentists

Stained teeth, dark teeth, chipped teeth, crooked teeth can be restored and teeth that are missing altogether can be replaced

Cosmetic or Aesthetic dentistry is the broad heading under which many dental procedures that improve the appearance of teeth may be described

Cosmetic dentistry is a combination of the art and science of creating an attractive smile and may involve:

  • Whitening
  • Crown Lengthening/ Gum Lifts
  • Veneers
  • white fillings
  • tooth coloured Crowns and Bridges
  • Implants and
  • minor tooth movement

At Sydney Aesthetic Smiles we use state of the art materials, techniques and equipment in order to achieve great smiles. It may involve changing the colour, shape or length of only one tooth or many teeth

Dr Shouha is our cosmetic dentist. He likes working with his hands and has a strong artistic inclination. He initially designed the dental clinic and did much of the finishing himself. He currently works with sandstone, aerated concrete and wax.

CROWNS

  • Generally speaking a restoration could be considered to be a crown if it involves greater than 50 % of the tooth and covers all of the biting surface. It is thus much more complicated than a filling
  • Dental crowns (also referred to as ‘caps’) cover over and are fixed on either:
  • the natural tooth or
  • an implant
  • Crowns are used to:
    • Rebuild and strengthen broken or decayed teeth especially if they have had Root Canal Therapy (see No 7) and
    • Improve the cosmetic appearance of a tooth
  • Crowns include:
    • Porcelain crowns – two visits
    • Porcelain bonded to metal crowns – two visits, combine the appearance with strength
    • Gold crowns – two visits, strongest and longest lasting
    • Composite crowns – one visit, conservative (MID), inexpensive and versatile and
    • V. Acrylic crowns – generally considered temporary
  • Porcelain and gold crowns are manufactured outside of the mouth by a dental technician using moulds of your teeth and instructions provided by the dentist
    This adds to the cost as additional laboratory fees are incurred. As additional stages are involved there is also a greater chance of errors in fit and colour
  • If Aesthetics is not a priority the best possible material for crowns is gold:
  • Gold is extremely tough even in thin sections. Therefore, much less drilling (MID) is required than for any other material (0.5mm for gold compared to at least 1.5mm for porcelain)
  • Porcelain (see Porcelain Fractures) and composite can fracture but gold will not
  • Same cost or less than porcelain
  • Is somewhat bacteriostatic
  • Fractures of Root Canal Treated teeth increase considerably in the posterior teeth when protection is not provided by a crown. Torbjorner A, Karlsson S, Syverud M, Hensten-Petterson, A: Carbon fibre reinforced root canal posts. Mechanical and cytotoxic properties, Eur J Oral Sci 104:605, 1996.

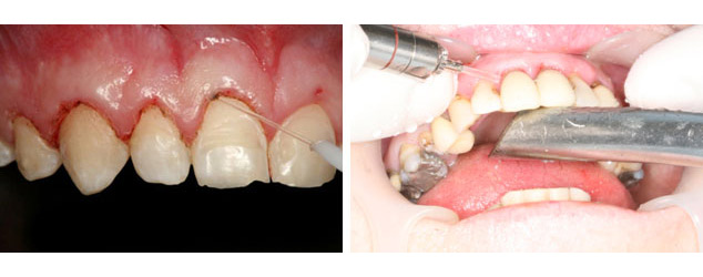
Laser Crown Lengthening

  • Crown Lengthening involves the reshaping of Gum and Bone tissue around a tooth
  • Crown Lengthening is performed primarily for two reasons:
    • For structural integrity in damaged or shortened teeth:
      in order to expose healthier tooth structure and provide a stronger foundation for the placement of restorations

    "the difference between an effective, long-term restoration and a failure can be as small as 1 mm of additional tooth structure”Galen & Mueller: Pathways of the Pulp, 8th Edition. St. Louis: Mosby,pg 771

    and

    • For Aesthetics to:
    • Remove a “gummy Smile
    • Harmonize uneven gums
    • There are three methods of doing this:
    • Scalpel blade and bone drill - Traditional (see figs 1,2 and 3 below)
    • Electrosurgery and bone drill or
    • Laser – Minimal Intervention (see figs 4 & 5)
    • At Sydney Aesthetic Smiles we use and recommend option C Laser as it invariably:
    • Results in little or no bleeding and does not require sutures (see figs 4 &5)
    • Requires the least Anaesthetic
    • Is the most gentle method with little or no post operative trauma, pain or swelling
    • Results in the fastest healing
    • Gives the most predictable results
    • Costs much less

    See Minimal Intervention Dentistry

  • In addition to the above advantages:
    • The laser sterilizes the treatment area as it works Also
    • We use Purified and Ozonation water, a very bio compatible disinfecting liquid

Figures 1 and 2.: Traditional crown lengthening procedure involving gum flap and bone drilling.

Figure 3. Sutures required for traditional crown lengthening procedure

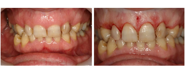
Figures 4 & 5.: Laser crown lengthening procedure. Note minimal to no bleeding

Figures 5 & 7.: Laser Crown Lengthening before and after. Note minimal bleeding and no need for sutures

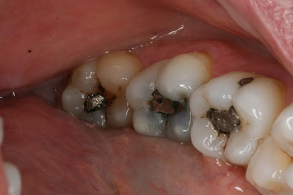
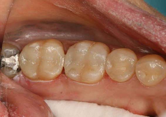
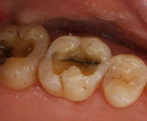
Cracked Tooth

Old amalgams

Crack found under old amalgam filling

Restoration of teeth with resin composite

Crack found under old amalgam filling

If you're not happy with your smile,

why not get a new one?

Connect With Us