Immediate Implants

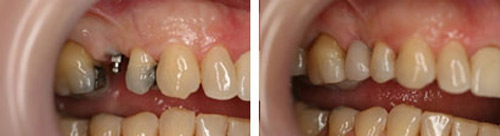
Here an implant and a composite crown were placed on the same appointment minimizing time and cost.

Implants

An implant can be thought of as an artificial tooth root that is submerged into the jawbone One or more missing teeth can be replaced when:

  • a Crown
  • a Bridge or
  • Dentures are added to the implant(s)
  • Utilising 3D Xrays implants are placed in a simple procedure that is often pain free. Over the following days bone grows to the implant and bonds to it making implant very strong in a process called Osseo Integration. Success rates depends on where in the jaw the implants are placed and how healthy the bone is to start with

  • The lower jaw has a very good chance of success (>95%)
  • The further back in the mouth you go, the lesser the prognosis, but this is generally over 90%
  • If you smoke, the chances of success drop by at least 10%. (>95%)
  • At Sydney Aesthetic Smiles we exclusively use C-Tech mini implantsand conventional larger Nobel Biocare implants where mini implants cannot be used. CLNI's are made of an extremely strong Titanium alloy and are guaranteed not to break for life. Their use allows for conservative placement in bone that is only 3 mm thick, thus avoiding bone grafting and significant trauma and expense for patients.

    The conservative nature of the surgical procedure means:

  • a) preservation of bone and
  • b) greater blood supply means
  • c) minimal post operative discomfort and
  • d) faster more predictable healing as well as
  • e) greatly reduced cost (roughly half the cost)

Interdental Brushes

Interdental Brushes (IDB) are narrow cylindrically shaped “bottle brushes” that are used on a daily basis in between teeth to remove Plaque

They are rinsed recapped and used again like Tooth Brushes

At SAS Dental the best ones we find are:

Picksters – size 0 (0.35mm) brush is the narrowest IDB available

Colgate - these have a triangular cross section that fits the space between teeth well

TePe – size 0 (0.4mm) is small

INVISALIGN

Invisalign is a system used to straighten and align teeth without braces or tooth extractions.

A series of thin clear plates similar to custom fitted whitening trays are used to guide teeth into more favourable positions

Treatment time and cost is similar to full banding i.e. braces but have the advantage of being removable

Some cases may not be suitable for Invisalign

See www.invisalign.com.au

Connect With Us